Cabinet dentaire à Menton - Docteurs Decroos-Loubat
CHIRURGIEN DENTISTE À MENTON
Cabinet dentaire à Menton - Docteurs Decroos-Loubat
CHIRURGIEN DENTISTE À MENTON

Blog - Page 7

Le comblement de sinus par abord crestal

Le comblement de sinus par abord crestal

Orthodontie : idées reçues, idées revues

Orthodontie : idées reçues, idées revues

L'orthodontie : une affaire de spécialistes

L'orthodontie : une affaire de spécialistes

Bridge collé

Bridge collé

Comblement osseux après une extraction dentaire

Comblement osseux après une extraction dentaire

Les concentrations en fluor des eaux minérales

Les concentrations en fluor des eaux minérales

La quantité de fluor présente dans les eaux minérales est très variable et il est important pour vous de bien la connaître.

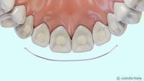
Fil de contention

Fil de contention

Conséquence de la perte des dents postérieures

Conséquence de la perte des dents postérieures

Protocole de dévitalisation d'une dent ou traitement endodontique

Protocole de dévitalisation d'une dent ou traitement endodontique

Parodontite et formation de la poche parodontale

Parodontite et formation de la poche parodontale

Le surfaçage

Le surfaçage

Traitement multi-attaches

Traitement multi-attaches

Affichage des articles 73-84 sur 212

Création par Webdentiste

Connexion